أحيانًا إذا كنت متعبًا للغاية في الليل ولم تقم بتفريش أسنانك لمرة واحدة فهل هذا الأمر سيئ جدًا ؟
طبعًا ليست نهاية العالم إذا لم تنظف أسنانك بالفرشاة بين الحين والآخر، ولكن هناك بالتأكيد بعض الأسباب التي تجعلك بحاجة إلى تنظيف أسنانك مرتين في اليوم.
يا ترى ماذا يحدث إذا لم تنظف أسنانك وما هي المشاكل المحتملة من عدم تنظيف الأسنان بالفرشاة...تابع معنا قراءة المقال التالي.
إنتبه يمكن أن يكون فمك بوابة للعديد من المشاكل الصحية التي تمتد إلى ما بعد ألم الأسنان أو النخر.
وفيما يلي بعض المشاكل المحتملة لأسنانك وبقية جسمك والتي يمكن أن تحدث إذا لم تقم بتنظيف أسنانك.
صحة الأسنان
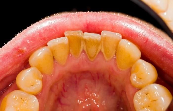
يساعد التنظيف بالفرشاة والعناية الشاملة بأسنانك على إزالة البلاك(طبقة رقيقة لزجة ملتصقة بالأسنان تحتوي على البكتيريا) الذي غالبًا ما يكون غير مرئي لعينيك.
التجاويف (النخور)
إذن فالبلاك عبارة عن طبقة رقيقة لزجة تغطي الأسنان وتحتوي على بكتيريا يمكنها اختراق طبقة المينا الواقية لأسنانك، ومهاجمة الطبقات الأكثر ضعفًا تحتها، وهذا يؤدي إلى نخرالأسنان، فإذا تُركت دون علاج يمكن أن تؤدي التجاويف والنخورإلى حدوث التهابات في الأسنان، وربما فقدان الأسنان، إن كل هذا يمكن الوقاية منه في أغلب الأحيان إذا قمت بتنظيف أسنانك بالفرشاة وحافظت على نظافة فمك بشكل جيد.
إلتهاب اللثة
يمكن أن تفعل اللويحة الجرثومية (البلاك) هذه أكثر من التسبب في تسوس الأسنان حيث يمكنها أيضًا إضعاف اللثة وتؤدي إلى إلتهاب في اللثة، وهو شكل من أشكال أمراض اللثة، إذًا فإن البكتيريا الموجودة في طبقة البلاك تؤدي إلى التهاب وتهييج اللثة فتصبح اللثة منتفخة وأكثر عرضة للنزيف.
كما أن إلتهاب اللثة هو مقدمة لإلتهاب العظام الداعمة للسن وهذه عدوى شديدة في العظام حيث أنها تصيب العظام التي تدعم أسنانك نتيجة لذلك فإن إلتهاب دواعم السن هو سبب رئيسي لفقدان الأسنان.
أثبت الباحثون أن المصابين بالخرف غالبًا ما يعانون من تسوس الأسنان بمعدلات أعلى، وهناك بعض الأبحاث التي تدعم فكرة أن تسوس الأسنان يمكن أن يزيد من خطر إصابة الشخص بالخرف، وتوجد أبحاث نُشرت في تقارير علم الأعصاب حيث درس فيها الباحثون الصلة المحتملة بين أمراض الأسنان الالتهابية مثل إلتهاب اللثة وإلتهاب الدماغ الذي يمكن أن يؤدي إلى مضاعفات مثل الخرف.
وهناك الكثير من الأبحاث التي يجب إجراؤها حول هذا الموضوع قبل أن يقرر الخبراء الطبيون أن هناك بالتأكيد صلة بين الخرف وصحة الأسنان.
أمراض القلب
أظهرت دراسة نشرت في المجلة الأوروبية لأمراض القلب الوقائي أن أولئك الذين ينظفون أسنانهم مالا يقل عن ثلاث مرات في اليوم الواحد كانوا أقل احتمالًا للتعرض لرجفان أذينة القلب وبالتالي فشل في عمل القلب.
ووفقًا لدراسة أجراها الباحثون فإن الذهاب إلى طبيب الأسنان بانتظام يقلل أيضًا من إحتمال تعرض الشخص لمضاعفات متعلقة بالقلب.
وأظهرت الدراسة أيضًا أنه كلما زاد عدد الأسنان المفقودة فإن ذلك له علاقة بزيادة مخاطر الإصابة بأمراض القلب مثل الرجفان الأذيني.
الجدول الزمني للمضاعفات الناتجة عن إهمال تنظيف الأسنان
لا يوجد الكثير من المتطوعين في البحث الذين يوافقون على التخلي عن تنظيف أسنانهم بالفرشاة لمدة أسبوع أو عام، ولكن البحث يمكن أن يعطينا تخمينًا جيدًا لما يمكن ان يحدث إذا لم ينظفوا أسنانهم لفترات زمنية معينة.
وإليك ما يمكن أن يحدث إذا لم تنظف أسنانك خلال الفترات الزمنية التالية
- لمدة يوم واحد: وفقًا لكتاب شيفر لعلم أمراض الفم يمكن أن تبدأ لوحة البلاك في إزالة كلس السن ( المادة الواقية تحت المينا ) في غضون 48 ساعة وهذا يعني أن لديك فترة زمنية صغيرة للتخلص من البلاك قبل أن يبدأ في اختراق أسنانك وربما إتلافها، فإن تفريش الأسنان بشكل متكرريضمن لك إزالة طبقة البلاك بشكل مناسب لأسنانك ويقوم بحمايتها.
- لمدة أسبوع واحد :بالإضافة إلى ضعف مينا الأسنان، يمكن أن يكون للبلاك آثار جانبية أخرى كرائحة الفم الكريهة، وستستمر الجراثيم الموجودة في طبقة البلاك اللزجة في التكاثر، وستشعرك أسنانك بهذا الشعور "وجود طبقة فوق الأسنان" بسبب تراكم البلاك وجزيئات الطعام عليها.
- لمدة عام واحد: من الصعب التنبؤ بما سيحدث إذا لم تغسل أسنانك لمدة عام كامل، فإذا كان لديك جهاز مناعة قوي فقد تتمكن من محاربة بعض عناصر تسوس الأسنان ومع ذلك فمن المحتمل أن تؤدي سنة واحدة من تراكم البلاك إلى تسوس الأسنان وأمراض اللثة وفقدان الأسنان أيضًا، فإذا كان أطباء الأسنان لا ينصحون بترك التنظيف بالفرشاة ليوم واحد فما بالك بترك تنظيف الأسنان بالفرشاة لمدة عام.
نظافة الفم المناسبة
هناك وجهات نظر مختلفة حول كيفية المحافظة على نظافة الفم، والآن إليك بعض الإرشادات من جمعية طب الأسنان الأمريكية حول كيفية العناية بأسنانك بشكل صحيح يوميًا.
- نظف أسنانك مرتين يوميًا بمعجون أسنان يحتوي على الفلورايد لمحاربة التسوس، وقم بتنظيف أسنانك بالفرشاة لمدة دقيقتين على الأقل للتأكد من أنك تزيل أكبر قدر ممكن من البلاك المتراكم.
- استخدم الخيط مرة واحدة على الأقل يوميًا، وإذا كنت لا تحب استخدام الخيط يمكنك تجربة البدائل مثل استخدام خيط تنظيف الأسنان بالماء أو استخدام فرشاة أسنان بين الأسنان أو أعواد تنظيف الأسنان.
- قم بزيارة طبيب أسنانك وراجعه مرة واحدة على الأقل كل 6 أشهروقد يوصي بعض أطباء الأسنان بالحضور بشكل متكرر، خاصةً إذا كنت معرض لتسوس الأسنان، أو لديك أمراض في اللثة، أو معرض لخطر الإصابة بأمراض اللثة.
وعلى الرغم من أن هذه هي الطرق الأساسية لتنظيف الأسنان إلا أن هناك بعض الخطوات الأخرى التي يمكنك اتخاذها للحفاظ على صحة أسنانك ولثتك قدر الإمكان ومن هذه الخطوات نذكر.
- لا بد من شرب الماء المفلورحيث أن هناك العديد من المدن تضيف الفلورايد إلى المياه لتحسين صحة الأسنان، ويمكن أن يساعد الشرب من الصنبور على تقوية الأسنان، مثلًا إن شرب الماء المفلور يمكن أن يقلل من خطر إصابة الطفل بتسوس الأسنان بنسبة تتراوح بين 18إلى 40 بالمائة.
- يجب الامتناع عن تعاطي التبغ، فيمكن أن يؤدي تدخين السجائر أو استخدام منتجات التبغ إلى زيادة مخاطر الإصابة بتسوس الأسنان وأمراض اللثة.
- إن استخدام غسول الفم المفلور يمكن أن يساعدك إذا كان لديك الكثير من النخور أو إذا أخبرك طبيب أسنانك أنك في خطر بسبب إزدياد التسوس.
- قد يصف لك طبيب أسنانك غسولًا خاصًا بالفلورايد أو جلًا لإستخدامه في المنزل إذا كنت معرضًا لخطر تسوس الأسنان
- إن إستخدام فرشاة الأسنان الكهربائية قد يساعدك في إزالة التراكمات والترسبات من أسنانك بشكل أسرع.
- يجب عليك اتباع نظام غذائي صحي مثل تناول الكثير من الفواكه والخضروات الطازجة مع الحد من الأطعمة الغنية بالسكر فهذا يقلل من مخاطر الإصابة بتسوس الأسنان.
- يمكنك أيضًا طلب النصائح من طبيب أسنانك حول الخطوات الفردية التي يمكنك اتخاذها لتقوية أسنانك، مثل إستخدام مواد منع تسوس الأسنان التي يمكن أن تحمي أسنانك الخلفية.
وإذا نسيت تنظيف أسنانك بالفرشاة بين الحين والآخر ، فلا داعي للذعر وتذكر دائمًا أن تنظيف أسنانك بالفرشاة مرتين يوميًا على الأقل، وإستخدام الخيط مرة واحدة يوميًا، وزيارة طبيب الأسنان مرتين على الأقل في السنة، هي الممارسات الصحيحة لتتمتع بصحة أسنانك بشكل عام. كما يُعد روتين تنظيف الأسنان المنتظم أمرًا مهمًا ليس فقط لصحة فمك، ولكن أيضًا لصحتك العامة.
إخلاء مسؤولية إن موقع بالبلدي يعمل بطريقة آلية دون تدخل بشري،ولذلك فإن جميع المقالات والاخبار والتعليقات المنشوره في الموقع مسؤولية أصحابها وإداره الموقع لا تتحمل أي مسؤولية أدبية او قانونية عن محتوى الموقع.
"جميع الحقوق محفوظة لأصحابها"
ملحوظة: مضمون هذا الخبر تم كتابته بواسطة بالبلدي ولا يعبر عن وجهة نظر مصر اليوم وانما تم نقله بمحتواه كما هو من بالبلدي ونحن غير مسئولين عن محتوى الخبر والعهدة علي المصدر السابق ذكرة.
