الدقهلية – شريف الديب
الأحد، 19 أبريل 2026 02:03 م
أعلن الدكتور حمودة الجزار، وكيل وزارة الصحة بالدقهلية، نجاح الفريق الطبي بمستشفى شربين المركزي في إجراء جراحة دقيقة لإعادة بناء وجه شاب يبلغ من العمر 30 عامًا، بعد تعرضه لحادث مروري أسفر عن إصابات بالغة في الوجه.
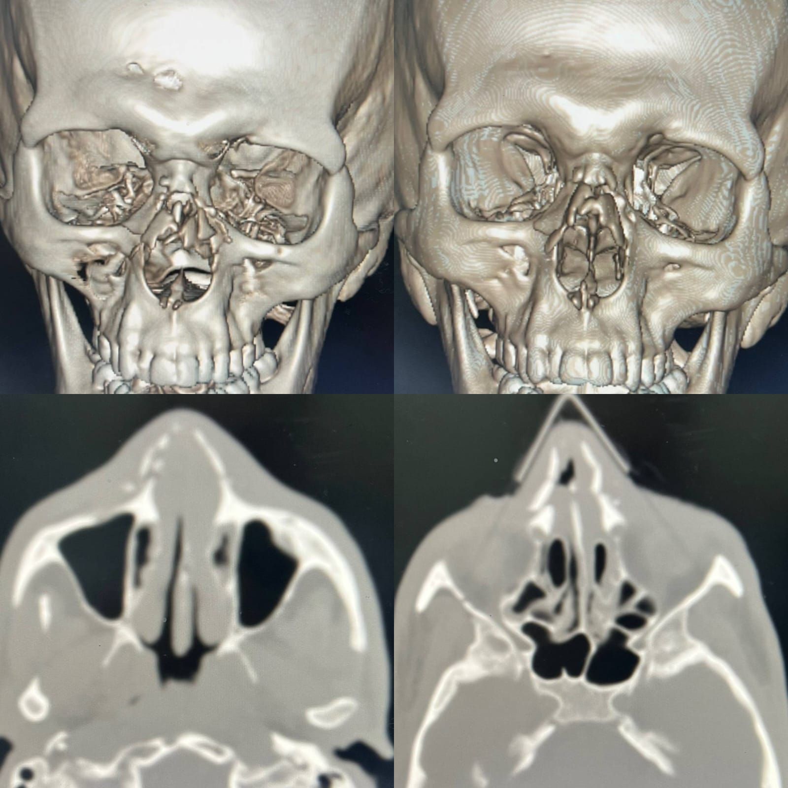
حالة حرجة واستقبال عاجلوأوضح وكيل الوزارة أن المريض وصل إلى قسم الطوارئ في حالة حرجة، حيث تبين وجود تهتك شديد بعظام وأنسجة الوجه، مع تضرر بالغ في معالم الأنف، واندماج بين مجريي التنفس والطعام، ما استدعى تدخلاً طبيًا عاجلًا لإنقاذ حياته.
جراحة معقدة استمرت 5 ساعاتومن جانبه، أوضح الدكتور أحمد معتمد عامر، استشاري ورئيس قسم جراحة الوجه والفكين، أنه تم التعامل مع الحالة بشكل فوري، حيث جرى تأمين مجرى الهواء أولًا، ثم نقل المريض إلى غرفة العمليات لإجراء تدخل جراحي دقيق استمر نحو 5 ساعات متواصلة.
وأشار إلى أن الجراحة تضمنت فك الاندماج بين الفم والأنف، وإعادة بناء المسارات التشريحية الطبيعية، إلى جانب ترميم عظام الأنف والأنسجة الرخوة، بما أسهم في استعادة الشكل التشريحي للوجه، وفصل الوظائف الحيوية المتعلقة بالتنفس والكلام وتناول الطعام.
استقرار الحالة بعد الجراحةوأكد أن الحالة خرجت من غرفة العمليات في وضع مستقر، مع تحسن ملحوظ وبداية استعادة الوظائف الحيوية، مشيرًا إلى أن مثل هذه التدخلات تُعد من العمليات الدقيقة التي تتطلب مهارة عالية وتكاملًا بين مختلف التخصصات الطبية.
فريق طبي متكاملوأضاف أن الفريق الطبي ضم كلًا من الدكتور حمدي أشرف، والدكتور خالد أبوغربية، إلى جانب فريق التخدير بقيادة الدكتور حمدي سرور، وهيئة التمريض التي شملت مس وسام عريض ومستر رؤوف أحمد، تحت إشراف مس نادية عبدالعظيم ومس ربيعة غنيم.
إشادة بجهود الطواقم الطبيةوأكد “الجزار” أن هذا النجاح يعكس كفاءة الكوادر الطبية بمستشفيات الدقهلية وقدرتها على التعامل مع الحالات الحرجة والمعقدة وفق أعلى المعايير.
كما أشاد بجهود إدارة المستشفى برئاسة الدكتور عمرو عبد الفتاح جلال، مثمنًا أداء الفريق الطبي وجميع العاملين من أطباء وتمريض وفنيين وإداريين وعمال.
استمرار دعم المنظومة الصحيةواختتم وكيل الوزارة تصريحاته بالتأكيد على استمرار دعم المستشفيات بالإمكانيات اللازمة، والتوسع في إجراء التدخلات الجراحية الدقيقة بالمستشفيات العامة والمركزية، بما يسهم في تحسين جودة الخدمات الصحية المقدمة للمواطنين.
جانب من تشخيص الحالة
ملحوظة: مضمون هذا الخبر تم كتابته بواسطة اليوم السابع ولا يعبر عن وجهة نظر مصر اليوم وانما تم نقله بمحتواه كما هو من اليوم السابع ونحن غير مسئولين عن محتوى الخبر والعهدة علي المصدر السابق ذكرة.
